Kanapaha Veterinary Services
Home Services Doctors & Staff Photo Gallery KVS Blog Contact KVS
Kanapaha Veterinary Services
Imaging
 
 
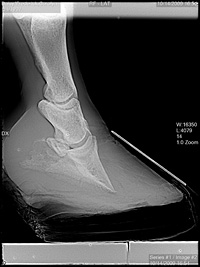
Digital Radiography
Our digital radiograph unit allows us to instantly see a high-quality image patient-side.  This image can be adjusted to pick up even the most minor orthopedic changes.  Images are stored electronically and copies on CD are available to you as well.

Ultrasonography
Ultrasound is a useful tool for viewing certain abdominal and thoracic structures.  Ultrasound for reproductive services can be used to help determine the reproductive health and optimal time for breeding of mares.  It is also used to help prevent twinning and to monitor fetal growth.  Ultrasound is also utilized for diagnosing musculoskeletal injuries and to monitor the healing process.

Endoscopy
Our three-meter scope allows us to evaluate the upper and lower airways to rule-out causes of breathing difficultly that might cause exercise intolerance in your horse.  It can also be used to evaluate the esophagus and stomach.

 
   
 
Kanapaha Veterinary Services